Our Services
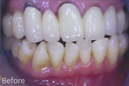
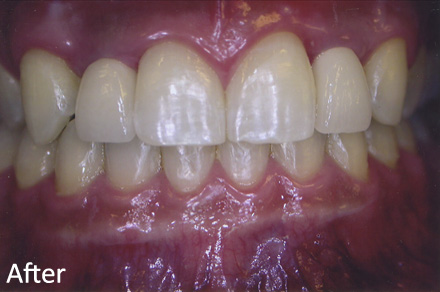
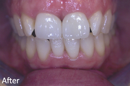
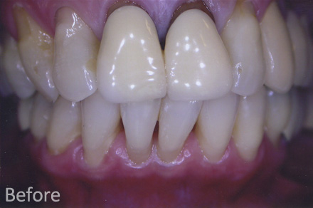
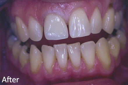
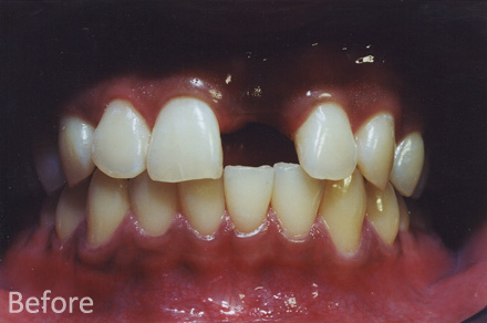
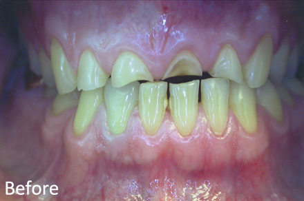
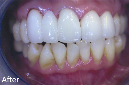
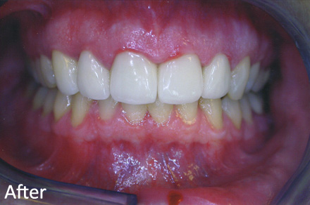
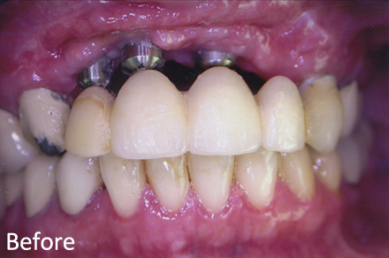
We offer a wide variety of services to fit your dental needs including, but not limited to, the list below. Also, Please check out our before and after images of some of the services we provide and
contact us with any questions.
- Children Dentistry
- Cosmetic Dentistry
- Crowns and Bridges
- Dental Hygiene
- Dental Implants
- Endodontics
- Oral Surgery
- Periodontics
- Preventive Dental Care
- Removable Prosthodontics
- Restorative Care
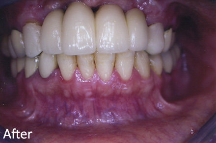
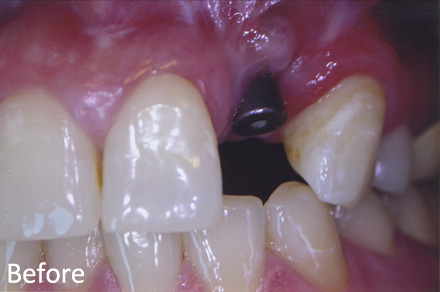
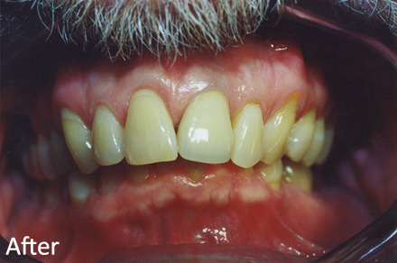
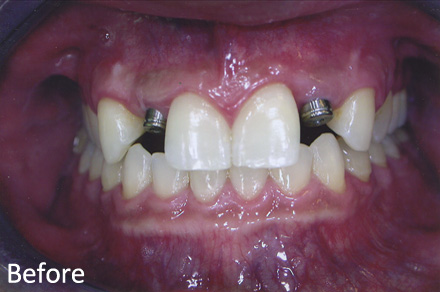
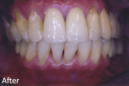
Implants
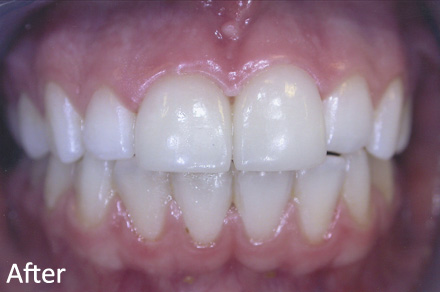
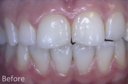
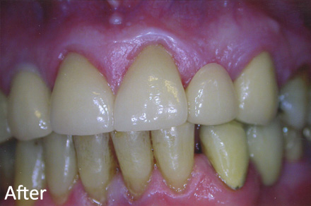
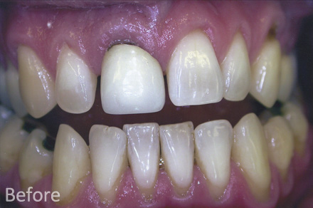
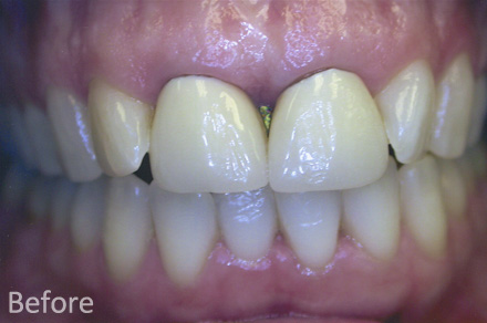
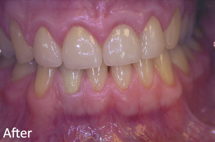
Discolored Teeth
Chipped/Broken Teeth
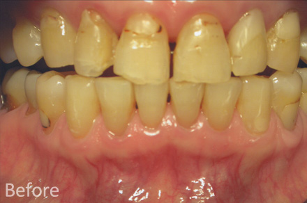
Attrition/Erosion
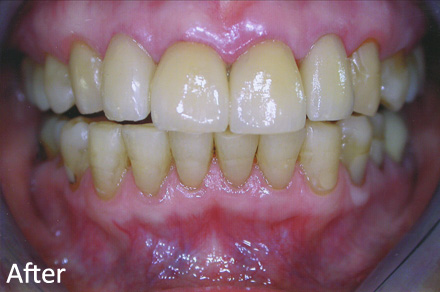
Crowns and Bridges
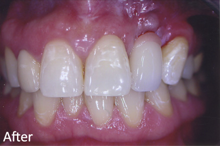
Old Crowns/Recession